假膜性肠炎
假膜性肠炎(pseudomembranous enteritis,PME)是一种急性肠道炎症,因在小肠或结肠的坏死黏膜表面覆有一层假膜而得名,本病易发生在大手术和应用广谱抗生素后,故又有人称之为手术后肠炎、抗生素性肠炎。假膜性肠炎的实质是肠道内菌群生态平衡失调,所以也可以见于休克、心力衰竭、尿毒症、结肠梗阻、糖尿病、白血病、再生障碍性贫血、心肺慢性疾病等。
| 目录 | 
疾病介绍
假膜性肠炎(pseudomembranous
enteritis,PME)是一种急性肠道炎症,因在小肠或结肠的坏死黏膜表面覆有一层假膜而得名,本病易发生在大手术和应用广谱抗生素后,故又有人称之为手术后肠炎、抗生素性肠炎。多发生在50~60岁的中年人,女性多于男性。本病一般发生于肿瘤、慢性消耗性疾病及大手术后应用抗生素的过程中,大多数起病急骤,病情发展迅速。发病时间最早的可在开始用药后几小时,但也可在停药后3周左右,约有20%的患者在停抗生素后2~10天内起病。临床表现有发热、腹泻、腹痛、腹胀、毒血症和休克。
疾病体征
本病一般发生于肿瘤、慢性消耗性疾病及大手术后应用抗生素的过程中,大多数起病急骤,病情发展迅速。发病时间最早的可在开始用药后几小时,但也可在停药后3周左右,约有20%的患者在停抗生素后2~10天内起病。
1.发热10%~20%的病人发热、白细胞升高,个别的可呈现类白血病反应样血象。轻型患者多呈中等发热,重型病人可出现高热。
2.腹泻是本病突出的症状。由于黏膜炎症及外毒素刺激损害了病变肠管的吸收功能,影响肠道对肠内容物的吸收使肠壁向肠腔内分泌的水、钠增加,液体渗入肠腔造成大量肠液积聚引起腹泻。腹泻的程度取决于细菌的数量、毒力的大小以及患者的抵抗力。轻者一天数次稀便或十数次水样便,停用原使用的抗生素,投有针对性的药物后可治愈;重者出现严重的腹泻,排出有腥臭味脓性黏液血便,每天可多达20~30次,每天排便量可达4000ml,甚至多达10000ml。粪便中时有血或斑块样假膜出现,曾有报道一例重症患者便出60cm长的假膜管型。感染金黄色葡萄球菌往往是草绿色水样便,难辨梭状芽孢杆菌可为黄色蛋花样稀水便。如出现中毒性肠麻痹不能排除积聚在肠腔内的大量液体,腹泻次数反而减少,但病情变得更加严重。
3.腹痛、腹胀在炎症及肠液毒素的刺激下肠管呈痉挛性收缩从而引起不同程度的腹痛,重者可很剧烈伴有早期的肠鸣音亢进。肠管蠕动功能紊乱后,不能有效地排空积聚肠内的液体和气体导致腹胀。假膜性肠炎是在频繁腹泻的同时出现腹胀而不同于一般的腹泻。严重者可有典型的中毒性巨结肠症症状,重者有腹痛、腹胀、肠型、全腹肌抵抗和压痛、肠鸣减弱或消失。有肠坏死、穿孔者出现弥漫性腹膜炎,全腹肌出现明显的抵抗、压痛反跳痛,腹胀更为明显,全身的中毒症状更加重,以致陷入感染中毒性休克。有的患者出现腹水。
4.毒血症和休克是重症患者晚期的表现。大量毒素吸收后出现食欲明显减退、高热、心动过速、精神萎靡、谵妄、定向力差、意识障碍、呼吸深促、手足发凉、血压不稳等,最后导致肝、肾功能不全而陷入不可逆性休克。个别患者起病急骤,主要表现为高热、严重腹胀、呕血、便血,数小时内出现休克、死亡。
疾病病因
假膜性肠炎是由两种菌群产生毒素致病。
难辨梭状芽孢杆菌
难辨梭状芽孢杆菌(clostridiumdifficile)是与抗生素相关的假膜性肠炎的重要发病原因,1935年由Hall等首先从婴儿的粪便中分离出来的细长的严格厌氧
的革兰阳性杆菌。这种细菌是体内常驻细菌存在于正常人的肠道中。在未接受抗生素治疗的患者中,难辨性梭状芽孢杆菌数量仅占厌氧菌的2%~3%,细菌产生的毒素少,甚至不产生对人体致病的毒素。人群中难辨梭状芽孢杆菌的检出率为5%~13%,正常情况下这些细菌互相制约,不能大量繁殖,也不会导致发病。长期使用大量抗生素,能抑制肠道内各类细菌的生长,不受抗生素影响的耐药性难辨梭状芽孢杆菌则迅速繁殖,大便中的难辨梭状芽孢杆菌可高达厌氧菌的10%~20%,产生大量的外毒素,引起黏膜坏死、渗出性炎症伴假膜形成,在所有假膜性肠炎的大便中都几乎可找到这种外毒素。难辨梭状芽孢杆菌至少产生四种物质,即毒素A(肠毒素)、毒素B(细胞毒素)、运动性影响因子和一种热敏感毒素。其中毒素A和B已经得到纯化。毒素A的分子量为50万,毒素B的分子量为36万。它们均由糖蛋白组成,对酸、碱敏感,耐醚不耐热,在50℃下30min两种毒素绝大部分被破坏。对胰酶、胰凝乳蛋白酶和细胞蛋白酶敏感,不被核糖核酸酶及脱氧核糖核酸酶分解。在pH4或pH10条件下,毒素B的毒性消失而毒素A的毒力不受影响。毒素A可刺激黏膜上皮细胞增加水和电解质的分泌,使水分和电解质大量丢失。毒素B可造成局部变态反应使肠黏膜变性坏死,纤维素、黏蛋白渗出形成假膜,如将这种毒素经口注入动物体内可引起肠炎、致死。毒素A在低浓度时可以刺激肠黏膜上皮细胞活化鸟苷环化酶,导致细胞内G-磷酸鸟嘌呤核苷增加。毒素A和毒素B的作用是协同的,先是毒素A引起肠道组织病变,其后毒素B再作用于这些受损的组织细胞。两种毒素均有抗原性,
能与相应抗体作用,毒素A的抗血清不能中和毒素B,而毒素B的抗血清除可中和毒素B外还可以中和部分毒素A。另外,毒素B可被索氏梭菌抗毒素中和。第三种毒素运动性影响因子存在于难辨梭状芽孢杆菌培养液的过滤除菌上清液中,它可改变兔回肠袢肌电活动。第四种毒素为低分子量的蛋白质,对热敏感,非常不稳定,其作用和霍乱弧菌、大肠埃希菌的肠毒素相同,可引起兔回肠液分泌增加,但不引起组织损伤。
凝固酶阳性的溶血性耐药金黄色葡萄球菌
凝固酶阳性的溶血性耐药金黄色葡萄球菌当使用大量广谱抗生素后(如土霉素、氯霉素、四环素、氨苄青霉素、先锋霉素等)抑制了肠道内包括大肠杆菌在内的各种菌群,耐药的金黄色葡萄球菌则大量繁殖产生外毒素,导致假膜性肠炎的发生。把这类病人的粪便涂片做革兰染色可找到成堆的球菌,如将这种细菌产生的毒素给动物注射也可以发生假膜性肠炎。有人报道,在一组入院患者的大便中检出金黄色葡萄球菌的占17%,入院经抗生素治疗1周后大便中金黄色葡萄球菌的检出率达38%~40%。也有人认为,在假膜性肠炎中,金黄色葡萄球菌只是一种伴随菌并不是真正的致病因素。有的人对假膜性肠炎尸检材料进行组织培养或大便培养,均未发现金黄色葡萄球菌。也有人报道,抗生素相关假膜性肠
炎患者的大便中有金黄色葡萄球菌及其毒素存在,而未见前述的难辨梭状芽孢杆菌和毒素。由此可见,虽已证实难辨梭状芽孢杆菌是抗生素相关假膜性肠炎重要发病原因,但并非所有的假膜性肠炎都是由难辨梭状芽孢杆菌所致。正常情况下胃肠道是一个平衡的生态系统,肠道内存在着大量的细菌,这些细菌菌种和数量基本上是恒定的。这些细菌有助于细菌本身和它所引起人体产生的抗体来抵抗感染。一旦某些因素使这个系统失去生态平衡,就会致病。抗生素最易产生菌群的比例失调,因此是假膜性肠炎发病的重要原因之一。最常引起假膜性肠炎的抗生素依次是氨苄青霉素、氯林可霉素和头孢菌素类。不常引起的是青霉素、红霉素和复方新诺明。偶可引起的是氯霉素、四环素、甲硝唑和氨基糖苷类药物。癌症和手术是重要的易感因素。
发病机制
肠道内的细菌来自口腔,从外界进入消化道的细菌经过胃时大部分被胃酸杀死,仅有很少数未被杀灭的细菌进入十二指肠以及回肠的上段,十二指肠和空肠幸存的细菌主要是革兰阳性链球菌、乳酸杆菌、微粒球菌属和酵母菌,总数少于105/ml。在回肠的中下段细菌数开始增加,含量估计为105~106/ml,在回肠末段以需氧性埃希杆菌属为主。肠内容物进入到大肠以后,细菌在缺氧环境中呈中性或弱碱性、内容物移动又缓慢的条件下大量繁殖,其中主要的是厌氧性机会菌丛。厌氧菌的数目在每毫升结肠内容物中可多达1011个左右。正常人肠道中主要为专性厌氧菌,
兼性需氧菌仅占1%。消化道内的正常菌群按细菌定植有规律地分布,边繁殖边排泄出体外,终生不变。对健康人粪便菌群研究的结果与国外报道的菌值和顺序相近,提示肠菌群以厌氧菌为主。9种常见菌的均数顺序为:类杆菌、双歧杆菌、真杆菌、肠杆菌、乳酸杆菌、肠球菌、梭菌、葡萄球菌、酵母菌。正常人体肠道内细菌的分裂周期为6~48h。除胃酸在维持空肠内菌数起重要作用外,胃和空肠黏膜也有内在的与pH无关的抑制特性。在胃酸缺乏或作部分胃切除患者的胃和小肠中,可发现需氧和厌氧细菌数明显增加,近段小肠出现大肠杆菌和厌氧性革兰阴性杆菌,并且链球菌、乳酸杆菌和真菌数目也增加。正常菌群促进机体营养物质的消化和吸收,参与机体内胆固醇、类固醇、脂肪、蛋白质、类脂、氨基酸以及某些药物的吸收和代谢。肠道菌群通过以下机制起到非特异性免疫作用:①H2O2作用;②细菌毒素作用;③占位性保护作用;④有机酸的作用;⑤争夺营养作用。正常菌群还可产生多种抗原物质刺激机体发生免疫应答,使免疫系统保持活跃状态防御多种感染。肠道的菌群紊乱,如细菌量减少将造成淋巴组织发育不良、淋巴细胞增殖能力下降、白细胞减少、丙种球蛋白含量降低等,淋巴因子的分泌能力减弱也将影响细胞免疫反应、迟发型变态反应的建立。大肠杆菌主要的生理作用之一是其免疫原性,大肠杆菌可和其他正常菌群一样产生微量的毒素,作为一种免疫原引起对毒素的免疫作用。肠道内菌群组成受到宿主的肠蠕动、消化道pH、肠内分泌的酶、黏液、抗体分泌和功能等生理因素的影响、随肠内细菌的相互作用、食物、药物、气候、年龄变化而改变。
正常肠蠕动是防止细菌在小肠过度生长的主要防御机制。小肠靠强有力的蠕动作用使肠腔内细菌远远少于结肠,当肠蠕动减低时,小肠细菌将密集生长。胃酸杀灭上段小肠细菌使该部位的菌群稀少,胃酸一旦减低,进入胃与小肠中的需氧和厌氧菌数量就会明显增加,在近段小肠出现大肠杆菌和厌氧性革兰阳性细菌,同时真菌和链球菌的数量也相应增加。
在正常情况下,人体肠道内的细菌相互依赖、相互制约形成一种细菌和人体之间自然的生态平衡。肠道内存在的细菌在菌种和数量上基本上是平衡的,大肠中每克内容物中含有细菌数为10
10~1011,小肠内也含有108。在正常的生态平衡状态下,这些细菌藉助于细菌本身和细菌引起人体产生的抗体来抵抗致病菌的侵袭。细菌对人不构成危害而且还可合成某些维生素。大量应用抗生素,特别是经口服用以致于改变了肠道细菌之间平衡关系,将出现肠道细菌的菌群失调。非致病的肠道内细菌,如大肠杆菌等因对抗生素敏感而被大量杀灭,抗药性相对较强的细菌,如金黄色葡萄球菌、绿脓杆菌、某些荚膜芽孢杆菌及真菌等迅速生长繁殖,分泌外毒素引起肠道病变。病人机体的免疫能力和抗病功能下降或某些疾病导致肠道缺血、淤血等均可导致肠道内菌群失调发生假膜性肠炎。
发生假膜性肠炎必须具备肠道菌群紊乱、内源性或外源性的顽固性难辨性梭状芽孢杆菌或金黄色葡萄球菌存在及上述细菌产生毒素和易感的机体等。在婴幼儿难辨梭状芽孢杆菌是肠道正常菌群之一,由于新生儿和婴儿肠黏膜上的毒素受体可能尚未成熟,所以不至于造成疾病。未满1个月婴儿的肠道内难辨梭状芽孢杆菌可占细菌总量的50%以上,有30%~90%的1岁以内的婴幼儿肠道中携带此菌,以后随着年龄的增长逐渐减少,至成年时期约占肠道细菌的3%。病人使用抗生素后,肠道菌群受到杀伤或抑制,导致正常菌群发生紊乱,尽管难辨梭状芽孢杆菌也被大量消灭,但在具有拮抗作用的细菌减少的情况下仍易大量繁殖。如果患者在接受抗生素治疗前不是带菌者,在接受抗生素后肠道内的需氧菌和厌氧菌被清除,肠道定植阻力下降,致使原来由这些菌占据的肠黏膜细胞上的细菌受体最终被来自外界的难辨梭状芽孢杆菌附着定居。除了抗生素的应用之外,未使用抗生素治疗的其他疾病,如胃部分切除术或迷走神经切除加幽门成形术、胃大部切除术胃空肠吻合术后、十二指肠或空肠憩室、手术性盲袢(端侧吻合)、肠梗阻(狭窄、粘连、炎症、癌)肠短路和旷置影响,低胃酸和伴有运动功能紊乱。肠内瘘、
回盲部切除等以上原因均可造成胃肠运动功能变化,加之肠道内环境的改变,如回盲部切除失去回盲瓣在调节肠内菌群正常分布中起到的重要作用,不能阻止结肠内菌丛逆流入小肠,减弱了肠道对菌群过度增殖的抗菌防御能力等。其他如白血病、恶性肿瘤或接受放疗、化疗、激素治疗以及感染、慢性消耗性疾病等也能改变肠道正常菌群生态平衡,粪便中也可能分离到难辨梭状芽孢杆菌产毒菌株,发生假膜性肠炎。
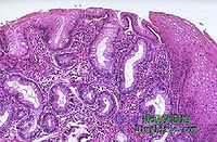
病理学
病理组织学研究表明,典型的假膜性肠炎有组织学上特殊的层状病理改变,没有血管炎的表现。病变早期,病灶与病灶之间存在正常黏膜。进展期黏膜完全坏死而仅有少量腺体存活,上面覆盖一层厚的炎性细胞碎片、黏蛋白和纤维素。水肿和炎症继续发展,扩展到黏膜下层甚至超过黏膜下层则不易与其他肠道炎症相区别。约60%的病变发生在小肠,15%生在大肠,25%大小肠都有。病理变化主要局限于黏膜和黏膜下层。受累肠段可呈阶段性分布的黏膜坏死、伪膜形成。黏膜病变表现为充血水肿,局限性的坏死病灶可以相互融合。
大体形态
肉眼可见假膜性肠炎的肠腔扩张、积聚有大量稠厚黏液,黏膜被覆有从数毫米到数厘米散在的斑点状或斑片状的黄白色、黄色、棕色或黄绿色假膜,严重者融合成片使整个肠段完全被假膜所覆盖。假膜由纤维素、中性粒细胞、单核细胞、黏蛋白、细菌及坏死细胞凝固而成。假膜质地松软而脆,容易与黏膜分离,漂浮在肠液中并随大便排出体外。假膜脱落后裸露出黏膜下层形成溃疡,浆膜充血、水肿、增厚,甚至坏死、穿孔。
组织形态
显微镜下,病变部位的黏膜充血,黏液腺管扩张内含多量稠厚的黏液,黏液排出后参与假膜的组成,病变重时绒毛和黏膜顶部有不同程度的坏死或消失。固有层中有中性粒细胞、浆细胞和淋巴细胞浸润,腺体断裂坏死。黏膜下层毛细血管扩张、充血及血栓形成,血管壁坏死可导致黏膜缺血坏死。病变一般仅限于黏膜层,但也可以向黏膜下层扩展累及全层,甚至导致大片坏死。一般可按病变程度分成轻度、重度、严重3型:
①轻度病变:最初的损害是在黏膜的固有层中出现急性炎性细胞、嗜酸性粒细胞浸润和纤维素渗出,形成灶性坏死。在坏死的病灶中的纤维蛋白原和多形核细胞聚集形成特殊的顶极损害。
②重度病变:病变未侵犯到黏膜下层,黏膜腺体被破坏,假膜形成。含有黏蛋白的急性炎性细胞的破坏和腺体被典型的假膜所覆盖,固有层中性多形核细胞浸润,伴有典型火山口样隆起坏死病变。
③严重病变:黏膜完全破坏,固有层深层受到侵犯,黏膜固有层被一层厚而相互融合的假膜覆盖。
疾病检查
大手术、长期大量使用抗生素、严重慢性疾病或高危患者在疾病恢复过程中突然出现发热、腹泻、排出绿色海水样或蛋花样水便应首先想到本病。恶性肿瘤的化疗期间和胃肠道恶性肿瘤的大手术之后的发病率更高。如将大便涂片作革兰染色发现阳性球菌大量增多,而阴性杆菌减少则诊断基本可以确定。非典型病例因缺乏大便的典型表现,常造成诊断上的困难。对手术或使
用抗生素而发生腹泻的病人应重复进行大便涂片检查,观察球菌和杆菌的比例变化,必要时作结肠内镜检查。如有条件用双酶梭状芽孢杆菌抗毒素中和法测定大便有无难辨性梭状芽孢杆菌毒素的存在,可以帮助诊断。北京协和医院对本病制订了诊断标准:①腹泻前有某些抗生素使用史;②有典型的临床表现如腹泻、腹胀、发热、白细胞计数增加,严重时有便血、中毒性肠麻痹、肠穿孔、中毒性休克;③粪便细菌学分离,鉴定有难辨梭状芽孢杆菌;④粪便过滤液或分离菌株培养的过滤液有毒素,在组织培养中具有细胞病理效应,且能被难辨梭状芽孢杆菌抗毒素或污泥状芽孢杆菌抗毒素所中和。
实验室检查
1.粪便常规将粪便涂片镜检,若发现革兰阳性杆菌及其芽孢将对临床判断很有帮助。随后可进行分阶段细菌培养,检查有无大量革兰阳性菌。
2.细菌学检查90%的病例在发病时粪便中可培养到难辨梭状芽孢杆菌。送检时为了减少与空气的接触,必须采取至少多于容器容量的新鲜粪便,连同容器置于加盖密封的广口瓶内,于20min内速送检验。取CCFA专用培养基(由环丝氨酸、噻吩甲氧头孢霉素、果糖和蛋白质琼脂组成)接种,在厌氧条件下有选择性的分离难辨梭状芽孢杆菌。若菌落呈扁平、边缘不规则、粗糙状,革兰染色为阳性杆菌即可作出诊断。
3.细胞毒素的毒性实验稀释的大便或细菌培养滤液,对组织培养细胞(HELA)有特异性的细胞病理效应,这种效应可被污泥梭状芽孢杆菌的抗毒素中和,从而证实难辨芽孢杆菌为产毒菌株。
4.毒素A的检测可以用对流免疫电泳、酶联免疫吸附实验、乳胶凝集实验、单克隆抗体方法等检查毒素A。
辅助检查
1.结肠镜检假膜性肠炎同时侵犯结肠,尤其是乙状结肠可借助结肠镜进行检查。有报道应用纤维结肠镜检查了16例假膜性肠炎的患者,其中有14例在直肠和乙状结肠部位发现了病变。典型的表现为黏膜发红水肿,上面有斑块或融合的假膜,活检可见黏膜有急性炎症,假膜内含有坏死上皮、纤维蛋白、炎性细菌等。应用纤维结肠镜检查时要掌握病程进展的阶段,肠炎尚未形成假膜或局部的假膜已经脱落时镜下未必能发现假膜,所以不一定以假膜为唯一的诊断根据,未见假膜并不一定能排除本病。假膜性肠炎病变可以呈跳跃式分布,为了防止遗漏小的病变,要求镜检的范围必须包括全结肠,在有代表性部位采取病变组织,采取活检时要有一定的深度。
2.腹部X线平片常有肠黏膜增厚、小肠胀气,部分肠麻痹病人表现为肠梗阻。钡灌肠可能发现肠管边呈毛刷状、指压迹症和散在的圆形、不规则形充盈缺损。气钡双重造影可提供更多的诊断指标,但必须小心操作防止肠穿孔的发生。
3.超声诊断超声能发现局部肠壁假膜、黏膜及黏膜下水肿导致的重度增厚、肠腔变窄或消失,仔细探查可于右下腹发现似肠结核或肿瘤的假肾征。条件好的超声诊断仪还能更准确地分辨病变相关的层次。除此之外,超声诊断能发现疾病伴发的腹水等。CT诊断CT的表现不具有特异性,偶可发现低衰减的增厚的肠壁。
疾病鉴别
临床上诊断假膜性肠炎,应注意与下列疾病相区别。
1.肠扭转或肠套叠复位术后肠扭转或套叠造成肠管缺血、缺氧,在血循环改善后,由于毒素吸收出现高热及腹泻,有时需和假膜性肠炎鉴别。肠扭转或肠套叠复位术后出现的腹泻来自于肠道积存的内容物,腹泻的次数和量少于假膜性肠炎而且不会越来越多,内容物中所含的有形成分也多于假膜性肠炎,尽管可以有短暂的全身中毒症状但总的趋势呈逐渐缓解。大便不会出现典型的水样,更不可能有假膜,细菌涂片或培养不以球菌为主,也无难辨性梭状芽孢杆菌。
2.溃疡性结肠炎溃疡性结肠炎往往有长期腹泻史,严重者每天可有十多次水样便,少数急性起病者发病急骤,可有全身严重的毒血症状,广泛的结肠病变可有中毒性巨结肠表现,直至发生肠穿孔和弥漫性腹膜炎。溃疡性结肠炎的病变以结肠、直肠为主,缺少假膜性肠炎的致病原因,有反复发作的趋势,粪便检查没有假膜和相关病原体,黏膜所见为多发性溃疡及息肉,X线检查和结肠镜检有助于作出诊断。
3.克罗恩病(克隆病)多见于20~40岁,男女发病率大致相等,急性发病者有回肠充血水肿、肠系膜增厚淋巴结肿大,可出现发热、腹痛、肿块及穿孔。克罗恩病的病程较长,症状时轻时重呈间歇样发作,腹泻不严重,大便常为不成形稀便无假膜形成,与使用抗生素药物无关。最后确诊需要钡餐和钡灌肠、结肠镜检查和组织活检。
4.出血性坏死性肠炎出血性坏死性肠炎与肠黏膜缺血损伤、细菌感染有关,多见于婴幼儿及儿童,男性高于女性,病变以小肠为主,肠黏膜阶段性充血、水肿、出血、坏死,可伴肠系膜及所属淋巴结炎症。可有急性腹绞痛、腹泻、便血和毒血症,粪便有特殊的腥臭味。发病1~2天内出现全身衰竭、寒战、发热、白细胞升高与核左移、出现中毒颗粒等毒血症表现。轻型出血性坏死性肠炎只出现腹泻和仅含有少量血性水样便时不易和假膜性肠炎鉴别。
疾病治疗
治疗的目标是消除细菌、消除或减弱细菌毒素的作用、扶植肠道正常菌群、改善全身和腹部消化道的症状。
1.病因治疗病因治疗极为重要,临床用药应严格掌握适应证,对大量使用广谱抗生素的要严密观察消化道的变化。一旦怀疑本病或已明确诊断应立即停用正在使用的抗生素。停用抗生素以后有利于肠道其他细菌特别是需氧菌的生长,抑制厌氧菌生长,恢复正常的肠道内环境。
2.抗生素的应用在大便培养及药物敏感实验得出结果之前应及时改用抗生素,可使用针对性强的窄谱抗生素。
(1)红霉素:金黄色葡萄球菌为病原的可使用红霉素,30mg/kg,分4次口服,或2~4mg/kg静脉滴注,疗程为7~10天。
(2)万古霉素:万古霉素对难辨梭状芽孢杆菌有抗菌活性,在肠道内很少被吸收,能维持较高的药物浓度,很少有全身的毒副作用,对金黄色葡萄球菌也有作用,故被临床确认为治疗本病的首选药物。口服万古霉素500mg,4次/d,至少10天。一般临床症状迅速好转,腹泻、发热、腹痛常在48~96h内缓解,大便毒素滴度在3~7h内逐渐下降。但有少部分病人症状缓解停药后有复发。其原因可能有:①应用万古霉素以后,难辨梭状芽孢杆菌形成芽孢,停用药物以后芽孢发育和繁殖再次产生毒素;②病人再次感染难辨梭状芽孢杆菌(难辨梭状芽孢杆菌出现紧急耐药菌株的可能性不大,因为再次使用万古霉素仍然有效,而且未能检出耐药菌株)。有人认为使用万古霉素的总剂量和疗程的长短对停用抗生素后的复发无直接关系,采用逐渐减少剂量或间歇用药的方法也不能防止疾病的复发。如果发生复发可以重复一个疗程的用药。万古霉素治疗的主要缺点是味苦难闻和有较高的复发率,且价格昂贵。
(3)甲硝唑:甲硝唑也常被用于本病的治疗,得到较满意的疗效。体外实验中甲硝唑对难辨梭状芽孢杆菌有很好的抑制作用,缺点是口服时药物易被吸收,肠道的浓度相对较低,使用时需要加大剂量。甲硝唑0.4g口服,4次/d,5天后改用0.2g,1次/8h,再用5天。对不能口服的可经静脉给药,成人和12岁以上儿童每次g,1次/8h。个别情况下甲硝唑也可以成为假膜性肠炎的诱因,但仍然不失为很好的治疗药物。
(5)杆菌肽:也有用杆菌肽、洁霉素治疗的报道。杆菌肽是对细胞壁有活性的多肽,体外实验能抑制难辨梭状芽孢杆菌。与万古霉素相同,口服给药时从胃肠吸收少,粪便中可获得较大的浓度,全身的毒副作用少。杆菌肽的口服剂量是25000单位,4次/d,疗程1周。应用高压氧治疗可以抑制肠道内的厌氧菌的生长繁殖。一般用3个大气压作间歇治疗,5~7次为一个疗程。
3.抗毒素抑制毒素的致病作用。
(1)消胆胺:消胆胺在体外能结合难辨梭状芽孢杆菌的细胞毒和肠毒素,此药在肠道内发挥离子交换树脂作用与肠道内梭状芽孢杆菌结合排出肠外,阻断或降低毒素的组织毒性和活力,促进回肠末端对胆盐的吸收,减轻症状。常用剂量为每次口服4g,1次/6h,共5天。消胆胺适合轻症或经初期治疗成功而复发的,以及使用万古霉素后减少剂量而复发的。
(2)气性坏疽梭状芽孢杆菌多价抗毒素:常用剂量为50000U,加于5%葡萄糖液50ml静脉点滴,2次/d,直到效果满意。
(3)考来烯胺:此药能与毒素结合,减少吸收。一般用2~4克口服,3次/d。
4.扶持正常菌群由于难辨梭状芽孢杆菌肠道定植阻力的丧失是假膜性肠炎病理中一个重要因素,所以从理论上讲,可以用重建正常菌群的方法治疗。
(1)药物治疗:乳酶生0.9g,3次/d。维生素C0.1g,3次/d。叶酸、复合维生素B、维生素B12、谷氨酸等能促进肠内球菌正常菌群的繁殖。乳糖、蜂蜜、麦芽糖等促进大肠杆菌的繁殖。
(2)健康人粪便:用健康入肠道含正常菌群粪便为供体,用粪便灌肠方式治疗假膜性肠炎能取得较好的效果。其方法是取大便5~20g加200ml生理盐水混匀过滤后保留灌肠,1~2次/d,3~5天为一个疗程。
5.对症及全身支持治疗
(1)抗休克和对毒血症的治疗:补充血容量并给予全血、血浆或白蛋白,增强抵抗力及抗休克的能力。对毒血症的治疗可以短期应用。肾上腺皮质激素以期达到减轻毒血症的作用,有利于纠正休克。但没有必要大剂量、长期使用。血压偏低可用多巴胺、间羟胺等血管活性药物。
(2)纠正水电解质紊乱及酸碱平衡失调:腹泻可以导致脱水,一般为等渗性脱水,应根据生化检查和尿量补充丢失的水和钾、钠盐。使用碱性药物纠正酸中毒。单纯以静脉补充液体常难以补足血容量,肠道尚有正常黏膜可以吸收水分时,可以通过口服途径补充葡萄糖盐水(1000ml生理盐水中加用20g葡萄糖或40g蔗糖),葡萄糖在被吸收的同时作为载体将钠离子吸收,有利于补充钠的丢失和酸碱平衡的恢复。
(3)肠外营养(PN)治疗:本病有严重的腹泻,病程中影响进食,病程长,常易导致氮的负平衡。因此,PN治疗可以增强机体的抗御疾病的能力,加速组织的修复。
(4)治疗基础疾病:在治疗过程中要注意对于基础疾病的治疗,纠正心力衰竭,改善肝功能等。
6.手术治疗在非手术的积极治疗下,病程无改善,怀疑肠坏死、肠穿孔或发生中毒性巨结肠的可在纠正酸中毒、补足血容量的同时积极手术探查。
(1)小肠修补或肠切除术:适合于局部或一段肠管病变,肠壁充血水肿、坏死、穿孔者。可酌情行修补或一期切除吻合。
(2)回肠造口和横结肠造口术:中毒性巨结肠或肠穿孔时由于病情危重,全身状况差,不容易经受较大手术,可行末段回肠造口或横结肠双腔造口术,同时可经造口灌注万古霉素或甲硝唑。
疾病预后
大多数患者治疗后可获病痊愈。轻症患者,有的可以自愈。极个别患者经治疗有好转,但可再度发生腹泻。重症者尤其是高龄肠手术后患者,死亡率可达50%~70%。近年来由于及时诊断和治疗,死亡率已降到30%以下。
| 
 | |||||||||||||||||||||||||||||||||||||||||||
 
                








