生殖细胞瘤
生殖细胞瘤由原始的生殖细胞衍生而来,好发于松果体区,其次为鞍上池。肿瘤多发生于男性青少年,位于鞍上生殖细胞瘤则以女性多见。生殖细胞瘤对放射线非常敏感。该瘤通常无包膜、无钙化、出血、坏死或囊性变,属低度恶性肿瘤,多呈浸润性生长,常有不同程度和形式的转移,易向蛛网膜下腔及脑室系统种植、播散。组织学上,肿瘤主要含有两种细胞成分:上皮样细胞和淋巴样细胞。
目录 |
病理
生殖细胞瘤由原始的生殖细胞衍生而来,好发于松果体区,其次为鞍上池。肿瘤多发生于男性青少年,位于鞍上生殖细胞瘤则以女性多见。生殖细胞瘤对放射线非常敏感。
该瘤通常无包膜、无钙化、出血、坏死或囊性变,属低度恶性肿瘤,多呈浸润性生长,常有不同程度和形式的转移,易向蛛网膜下腔及脑室系统种植、播散。组织学上,肿瘤主要含有两种细胞成分:上皮样细胞和淋巴样细胞。
临床诊断
临床表现
突出临床表现是内分泌紊乱,表现为上视障碍和性早熟,同时可伴有下丘脑功能障碍,如尿崩、烦渴、嗜睡及肥胖。其他症状与肿瘤部位有关,松果体区肿瘤可阻塞中脑导水管,造成颅内高压。鞍区肿瘤则首先表现出视力障碍,然后出现头痛、呕吐、多饮多尿及垂体功能低下。
影像学表现
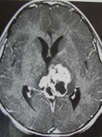
1.CT表现:
①肿瘤最常见于松果体区,位于鞍上区肿块常累及漏斗;
②CT平扫多呈等密度或稍高密度肿块,无出血、坏死及囊性变,可分叶,但境界清楚;瘤体本身钙化少见,典型松果体区生殖细胞瘤常见肿瘤包埋松果体钙化灶。
③增强扫描呈中等至明显的均匀强化。
④室管膜下转移可表现为沿脑室壁线状或条片状强化,沿脑脊液向蛛网膜下腔播散表现为脑表面、脑池的线状或结节状强化。
2.MR表现:
①最常见于松果体区,也常见于鞍上,可同时或单独存在。
②T1加权为略低信号或等信号,T2加权常呈等信号或高信号。
③增强后;呈明显均匀一致强化,并能发现沿脑脊液或室管膜转移的病灶。
鉴别诊断
①颅咽管瘤:多为囊性或囊实性肿块,钙化多见。纯实性者可呈稍高密度,并可强化,与生殖细胞瘤不易鉴别、
②星形细胞瘤:一般肿瘤较大,密度偏低,后期可出血,肿瘤通常位于下丘脑,并沿视交叉或视束延伸,可在眼眶内形成肿块。
③垂体瘤:发生于鞍内,但可向鞍上生长,小儿罕见,肿瘤易出血、坏死,鞍底骨质变薄、下陷,海绵窦常受累。
④脑膜瘤:好发于成人,儿童罕见,肿瘤部位偏前,伴骨质增生、硬化及蝶窦过度气化。
| |||||||||||||||||||||||
| ||||||||||||||||||||||||||||||||||||||||||||
| |||||||||||||||||||||||||
