医学影像学/肝的CT与MRI诊断
| 医学影像学 | 
肝的CT检查安全、可靠,有广泛的适应证。主要的适应证是肝占位病变。凡是临床或其他检查方法疑有肝占位病变尤其是肿瘤,都是CT检查的适应证。CT能确定病变的部位、范围、大小和性质,还能了解肿瘤有无转移,门静脉或腔静脉有无瘤栓等。对手术治疗或经导管栓塞化疗后的复查也较好。CT还能对上腹部情况包括胆囊、脾、腹膜后腔、有无腹水等作全面了解。CT与USG是肝检查的首选检查法,对病变的典型表现可以确诊。对一些不典型病例,两者应配合使用,互相补充和印证,可使病变的诊断更为正确。
(一)CT检查方法 检查前5~6小时禁食。扫描前30分钟口服1%~2%泛影葡胺400~500ml,其目的是使胃和肠管显影,避免将胃或肠管误认为异常。取仰卧位,层厚10mm,自膈顶向足侧对全部肝作连续横断面扫描。先作平扫,多需作增强扫描,以便更好地明确病变、病变性质并了解血管的情况。
(二)正常CT表现 CT上,肝呈密度均匀的实质性软组织影,CT值为50~60Hu,高于脾、胰、肾等脏器。肝内门静脉和肝静脉显示为低密度的管道状或圆形影。增强扫描后则明显增强,显示为高密度影。下腔静脉平扫时为圆形低密度影,增强后呈高密度。肝内动脉分支和正常胆管分支细小,通常平扫和增强都不能见到。
正常肝轮廓光滑,其形状及胸部结构依断面位置而不同。肝门区常有较多脂肪组织,呈不规则形或类似多角形低密度影。其中有肝动脉、门静脉和胆管进出。门静脉较大而居后,肝动脉位于其前内,胆管(主要是肝总管)位于其前外方。增强后门静脉较易识别,呈圆形高密度影,位于下腔静脉之前。CT上易于区分肝的各叶,即左呈、方叶、右叶和尾叶。左叶和方叶以圆韧带裂(又称纵裂)为界:方叶与右叶以右切迹和胆囊窝为界;横行的静脉韧带裂更明显。将左叶与尾叶分开;尾叶与右叶相连,突向内侧,位于下腔静脉的前方,易于识别。不同层面肝的解剖结构见图4-3-4。



图4-3-4 肝不同层面CT表现
MRI用于上腹部实质脏器,并非首选方法。与CT相比,其主要缺点是成像时间长(需数分钟)和空间分辨力低。心和腹主动脉的搏动、呼吸运动和肠蠕动都造成明显的伪影,妨碍诊断。然而MRI也有其优点,即可以通过成像参数的改变来了解病变的信号特点,从而对病变做出鉴别诊断;MRI还可以三维成像以及不用造影剂即可了解大血管的情况。随着MRI功能和成像方法的开发和改善,例如心电门控,呼吸门控,梯度回波快速成象技术等,MRI对腹部脏器尤其是肝脏疾病的诊断价值逐渐被认可。对于肝内占位病变,如USG和CT定性或判断有困难时,可使用MRI。
(三)MRI检查方法 常规使用自旋回波成像技术T1WI和T2WI作横断面和冠状面成像。必要时可加用;①梯度回波快速成像;②冠状面和(或)矢状面成像,用于确定病变的位置及其与邻近器官的关系;③静脉注射造影剂GdDTPA作增强成像。在有条件的情况下,可辅以心电门控,呼吸门控等技术以减少伪影。
(四)正常MRI表现在横断面图像上肝的解剖形态与CT图像相似。正常肝的结构均匀,其信号强度中等,在自旋回波图像上略低于脾而高于背部肌肉。对肝左叶和肝右叶的近膈部分,MRI显示比CT为优,因为CT在该处常由于胃内气体、膈的部分容积效应及胃肠道内造影剂而产生伪影。肝外与肝内血管,主要是静脉呈低信号,显示良好,明显优于CT平扫。腹内脂肪组织显示为甚高信号,气体显示为极低信号。
(五)肝疾病CT、MRI表现与诊断
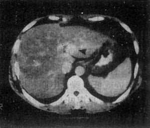
1.原发性肝癌 CT平扫绝大多数是低密度病灶,少数可以是低密度、等密度与高密度混合的病灶。肿瘤可以是单个或多个结节,也可呈巨块状。较大肿瘤因出血、坏死和囊变而致密度不均匀,中心部常出现更低密度区,其边缘部呈结节状。肿瘤边界多不清,少数边界清楚并有包膜。增强扫描肝癌区略有增强或不增强,而正常肝增强,因而使肿瘤境界更为清楚。癌变区可出现密度稍高的结节或隔,但其增强程度多不如正常肝。动态扫描时,即快速静脉注射造影剂并于开始注射后15~25秒内即行扫描,由于肝癌由肝动脉供血且供血丰富而迅速,而造影剂尚未到达肝内门静脉形成实质期,故肝癌结节可成为高密度,甚或显出高密度的异常肿瘤血管。但肝癌增强的时间较短暂,2~3分钟内即恢复为原来的低密度状态(图4-3-5)

图4-3-5 原发性肝癌
CT增强扫描,肝右叶有一较大圆形低密度肿块(↓),其边缘
部可见多个较密度的强化结节,其强化程度不如正常肝,中
心部仍为未强化的低密度区
除了上述密度改变外,CT还可能看到另外一些改变,包括①癌瘤处体积增大,轮廓隆凸;②肿瘤压迫肝门和(或)肝裂,使之变形和移位;③门静脉内瘤栓,表现为门静脉增粗,密度不均,增强后可见腔内充盈缺损影或门静脉不增强;④邻近器官如胃、胰、肾的受压移位;⑤附近或远处淋巴结增大(转移),腹水或其他脏器转移。
肝癌常在肝硬化的基础上发生,因此常可见到肝硬化的CT表现。
原发性肝癌在T1WI上肝癌的信号强度低于肝,境界常不清楚,有时难以认出。在T2WI上癌瘤较易识别,其信号高于正常肝,常不均匀。癌瘤中心常有不规则更低信号区,肿瘤边缘有时有一低信号的包膜(图4-3-6)。注射造影剂后肝癌信号明显增强,可低于或高于正常肝的信号,境界更为清楚,其中低信号区(出血、坏死、瘢痕)则无强化。若有门静脉内瘤栓,可于低信号的门静脉中出现高信号块影。


图4-3-6 肝癌(MRI)
A、T1WI肝右叶可见大块较低信号区,其内信号不均,轮廓不规
则(↓)。门静脉内可见相同信号强度影像,为癌栓所致(↓)
B、T2WI上述稍低信号区成为稍高信号区(↓),门静脉内癌栓的信
号也增强(↓)
2.海绵状血管瘤 CT平扫表现为类圆形低密度区,境界较清楚,密度较均匀。较大的血管瘤,其中心部分呈更低密度区,平扫所见难于肝癌鉴别。增强扫描尤其是动态扫描是鉴别诊断的必要手段,而以且注射和扫描技术起决定性作用。以60%~70%泛影葡胺60ml于30秒内注入静脉,注射完毕立即对病区层面进行扫描,然后在1、3、5分后再对病区层面扫描,必要时最后一次扫描可延迟到注射后10~15分。在注射造影剂60秒内的扫描片上,血管瘤边缘出现结节状,高密度的增强灶,代表瘤中的“血窦”,其密度与主动脉的密度相近,明显高于正常肝。在其后的扫描片上,可见增强的范围逐渐向中心扩展,而增强灶的密度则逐渐减低,最后整个血管瘤被造影剂“填满”,即整个血管瘤与肝的密度相等。这个过程约为几分钟到10~20分钟。造影剂在血管瘤内持续时间长,是与肝癌鉴别的重要征象。较大的血管瘤,其中心可始终保持低密度(图4-3-7)。


图4-3-7 肝血管瘤
CT增强扫描,注射造影剂后10分钟,可见原来两个低密度
区被造影剂基本完全充盈(↓)。图为两个相邻层面
血管瘤在T1WI上表现为均匀低信号区,较大的血管瘤则在其中心结构不均匀且信号更低,乃由于其中的血管和纤维化所致。上述表现与肝癌难以鉴别。T2WI对鉴别诊断很重要,血管瘤的信号很高,而其他实体性肿瘤只稍高(图4-3-8)。最近文献报道,MRI对肝癌和血管瘤鉴别诊断的准确性优于CT和USG,92%病例可作出鉴别。注射Gd-DT-PA行增强检查也有助于血管瘤的鉴别,血管瘤的信号强度比肝癌增高更快,更强,且停留时间更长。


图4-3-8 肝血管瘤(MRI)
A.T1Wi 肝左叶有一边界清楚的低信号区(→)
B.T2WI 原低信号区表现为极高信号(→)
此例CT检查亦表现为典型的血管瘤征象
3.肝脓肿 CT显示为境界清楚的圆形低密度区,CT值20~30Hu轮廓多整齐。脓肿壁表现为一圈“晕”,其密度高于脓腔而低于正常肝。增强扫描脓腔不强化,脓肿壁呈环形增强,轮廓光滑整齐,厚度均匀。若腔内有气体和(或)液面则可确诊。
肝脓肿在MRI上呈液体病变的信号特征,即长的T1和T2。T2WI上呈圆形、境界清楚的低信号区,其周围有一圈低信号晕围绕。注射Gd-DTPA后这一圈晕呈高信号环。
4.肝囊肿 典型CT表现为单发或多发边界锐利光滑的圆形低密度区,CT值与水接近。增强扫描囊肿不增强。
肝囊肿的MRI特点是T1和T2时间极长,在T1WI上其信号极低,低于血管瘤和肿瘤的信号,在T2WI上则其信号强度高于血管瘤和肿瘤。注射Gd-DTPA后,肝囊肿信号不增强。有时在T2WI上囊肿和血管瘤的信号强度相似,难以区别,则应利用T1WI加以区别,此时囊肿的信号强度明显低于血管瘤的信号。
5.肝硬化 CT有助于了解肝硬化的程度及腹部其他情况。平扫表现为肝密度普遍减低,CT值接近或低于脾。早期肝增大,晚期肝缩小。肝轮廓凹凸不平呈结节状。肝各叶大小比例失常,常是尾叶与左叶较大而右叶较小。肝门和肝裂增宽。脾增大是诊断肝硬化的重要根据,其外缘前后径超过5个单元,(一个肋骨或肋间隙称为一个肋单元)。病情进展者或伴有腹水,表现为肝轮廓外的新月形水样低密度区。有些硬化患者没有CT变化。
|  肝的USG诊断 | 胆  | 
